![]()
歯の色は、人それぞれ。
もともと、歯の色の濃い方や歯の色が均一でない方もいらっしゃいます。
また、進行したむし歯や外傷のため神経を取ると、歯の色が変わってきてしまいます。
機能的に問題がなくとも、審美的にマイナスのイメージがある場合は、
ホワイトニングはいかがでしょうか。
白い歯は、あなたの笑顔を引き立てます。
また、健康な歯であっても、さらに明るい色調をご希望の場合もご相談下さい。
※健康保険適応外です
![]()
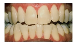
|
Before |
After |
ホームホワイトニングとは、
専用のマウスピースとホワイトニングジェルを使用して、家庭でホワイトニングする方法です。
詳しくは、こちらをご覧下さい(PDFファイルが開きます)。
![]()
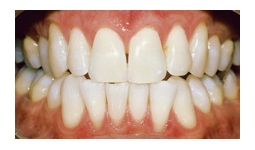
|
Before |
After |
変色が進んでいる場合は、薬剤+レーザーを用いてホワイトニングします。












