![]()
失った歯の機能を補うためには、従来はブリッジや
取り外しの入れ歯といった修復法しかありませんでした。
しかし、ブリッジにするためは、隣在歯がたとえ健全歯でも
削る必要があります。
また、入れ歯は使い心地や審美性において劣るという欠点があります。
インプラントは、そういった欠点を補う治療法として注目されています。
インプラント治療とは、顎の骨の中に人工歯根を埋入し、
人工歯根が骨結合した後に、セラミックなどの人工の歯をかぶせる治療法です。
※健康保険適応外 1本 300,000円〜(税別)
インプラントのメリット
自分の歯に対するダメージがありません。むしろインプラントは、残存歯の負担を軽減します。
●天然歯とほぼ同じ感覚でかむことができます。また、かむ力も天然歯とほぼ同等です。
●取り外し式の入れ歯に代わって、固定式の入れ歯を入れることが出来ます。
●取り外し式の入れ歯を支えるタイプのインプラントも可能です。
●取り外し式の入れ歯よりも、審美性・発音等の機能にすぐれています。
●他の修復方法に比べ、QOL(生活の質)の向上が期待できます。
インプラント治療のデメリット
インプラント治療は理想に近い治療ですが、完璧ではありません。
以下のような欠点もあります。
しかしながら、その欠点を差し引いても現時点ではもっとも予後がよい治療法と言えます。
1)治療方法が複雑:外科処置を伴うため、全身状態に左右されます。
また、できるだけ長持ちさせるためには、他の部分の治療(歯周病など)
も必要となります。
2)治療期間が長い:インプラント治療は骨にアプローチする治療法です。
例えば、骨折の場合も治るのには時間がかかりますよね。
それと同じで、骨と結合するには時間が必要です。
技術の進歩により期間は短縮されていますが、やはり他の方法よりは
時間が必要です。
3)健康保険適用外:残念ながらインプラント治療に関わる一連の処置は保険対象外です。
保険診療よりも高額になりますが、それだけの価値はあると思います。
以上のような、メリット・デメリットを考慮し、なおかつ主治医の先生と話し合い、
納得の上治療を受けることをお勧めいたします。
インプラント治療は、他の治療法に比べて遙かに予知性の高い(=長持ちする)治療方法です。
そのため治療前の相談から、治療後のメインテナンスまで、長いおつきあいとなります。
患者さまと主治医の間の信頼関係が、インプラント治療成功の鍵となります。
![]()
1)診査
全身状態の問診、レントゲン撮影、CT撮影、歯型採取、写真撮影等を行い術前の状態を
把握いたします。
2)診断
診査結果を基に治療プランを立て説明いたします。治療プランに納得していただいたならば
治療契約を結びます。
3)術前の処置
手術前に歯石除去等口腔内のクリーニングを済ませます。
4)1次手術(埋入手術)
術前のクリーニングから帰宅まで、およそ2〜3時間です。
その後定期的に経過を確認します。
5)2次手術(歯肉形態修正)
通常はインプラント本体は歯肉下に隠れているため、頭出しをして歯肉を整えます。
6)印象採得
歯肉の形態が落ち着いたら、上部構造作成のために型を取ります。
7)上部構造装着
かみ合わせや形態の最終チェック後に、セラミック等の人工の歯を装着します。
8)メインテナンス
インプラントを長期安定させるためには、定期的なクリーニングとかみ合わせのチェックが
不可欠です。
※このほかにも、様々な方法がありますが、詳しくは個々に説明しております。
※一般的な場合、インプラント手術から上部構造が入るまでおよそ3〜6か月かかります。
![]()
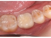
右下の奥歯の欠損をインプラントで修復しました。
両隣の歯は、全くの健全歯でインプラント治療によりダメージなく治療を終えることができました。
|
インプラント埋入状態 |
治療完了状態 |
レントゲン写真 |
いろいろな種類の治療方法
※クリックで拡大画像が表示されます
![]()
インプラント治療は、近年めざましい進歩を遂げ、もはや確立された治療のひとつとなりました。
しかし、通常の治療と比較すると、まだまだ複雑でデリケートな治療方法です。
高規格のシステムを用いた完全なクリーン環境下での治療、さらに治療技術の向上を図るのは
もちろんですが、一番大切なのは診断です。
そのため、当クリニックではデンタルCTを導入し、全症例に対し事前にCT撮影をし、
埋入シミュレーションを実施しております。
また、歯科用CAD/CAM装置セレックを用い最終的な被せ物をプランニングし、埋入位置を決
定し、可能な限り手術用ガイドを作製しております。
また、使用するインプラントは、信頼のおけるメーカー(※)のものを
症例に応じて使い分けております。
※Spline、Bicon
さらにセレックを用いて最終上部構造も作成しております。
インプラント治療はインプラント本体およびテクニックともに、まだまだ進歩しています。
当クリニックではスタッフを含め精力的にセミナーに参加し、より患者さんにやさしく確実
なインプラント治療を提供していきます。
|
デンタルCTの一例
|
セレックとコラボしたシミュレーション
|
|
外科手術用ガイド(セレックで作製)
|
最終上部構造のプランニング(セレック)
|



















