![]()
健康な永久歯列を完成させるためには、乳歯を健康に
保つことが必要です。
また、単にむし歯の問題だけではなく、歯肉や歯並びを
含めてトータルでチェックしていくことが大切です。
小児歯科 + 予防歯科 + 矯正歯科
それが当院のこども歯科のコンセプトです。

![]()
お医者さんに小児科があるように、
歯医者にも小児歯科があります。
小児歯科では、赤ちゃんが生まれてから、永久歯列が
完成するまでの口腔内の問題を解決いたします。
はじめから歯医者が嫌いなお子さんはいません。
しかし、残念ながらどこかで恐怖を体験したり、聞いたり
するために歯科嫌いになってしまいます。
そのため、お子さんにとって初めて触れる歯科医院が大切
と考えております。
当医院では、単に乳歯のむし歯を治すことにとらわれず、
たとえ未治療のむし歯を残したとしても、
健康な永久歯への生えかわりを図り、お口の状態を健康に保つ
ことを最終目的としております。

![]()
フッ素の使用
フッ素は、歯の質を強くすると同時にむし歯菌の働きを抑える働きがあります。
家庭でのフッ素の使用に加え、歯科医院での定期的なフッ素塗布をお勧めします。
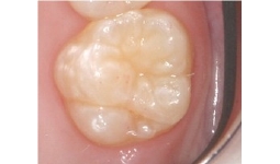
シーラント処置
かみ合わせの溝は、深く複雑なかたちをしているので完全にブラッシングするのは困難です。
そのため、溝の中にむし歯菌が入り込まないように、溝を予防的に塞ぎます。
一切歯を削らないので歯にダメージはありません。
|
. シーラント処置前 |
シーラント処置後 |
![]()
早期の歯列矯正は必ずしも必要とは限りませんが、
正常な顎や筋肉の成長・発育に必要な場合は、早期治療を行います。
その際は、できるだけシンプルな装置で短期間に歯列の改善を図ります。
また複雑な症例に関しては専門医と連携の上、治療を進めております。
|
治療の一例 初診時 |
装置装着時 |
。 治療終了時 |
また、乳歯列期の反対咬合(受け口)もご相談下さい。
取り外し式の矯正装置もあります。
|
|
3歳からの受け口治療。 |
















